24岁小伙拔牙后晕倒 开颅手术后去世!智齿还能拔吗
近日,#一24岁小伙拔牙后晕倒去世#又被传得沸沸扬扬。目前,深圳市大鹏新区教育和卫生健康局正在调查处理此事。
图源:某社交平台很多人纷纷留言表示不解,拔牙这么危险的吗?本来计划拔智齿,也决定再拖一下......
那么,智齿不疼到底应不应该拔?拔完到底会出现哪些情况呢?今天我们就来一起聊一聊~
智齿不疼就不用拔?
要问拔不拔,先问有没有。事实上,并不是所有人都一定有智齿。通常,一个成年人长出 28~32 个牙齿都是正常的,不排除有的人是天选之子,没有长智齿,且也不存在智齿。
如果我们把一个正常成年人的口腔分为左上、左下、右上、右下四个区域的话,每个区域会有 8 个牙齿,长在最后的第8颗牙齿,就是我们口中的“智齿”,也是我们的第三磨牙。智齿之所以被称为智齿,“智”也就是聪明的,很大程度上是因为它的萌出大概在成年之后,人们总觉得这是心智成熟的标志,也就称它为智齿了。
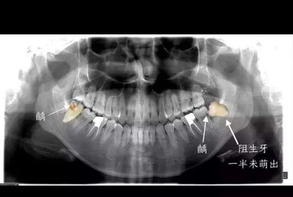
但实际上智齿和智商,除了都姓智,完全没关系。尽管有些人的智齿从来没痛过,但是有可能还是要拔。先给大家看一张照片。这些就是在本人这段时间手底下被拔的相对完整的智齿,而更多的智齿其实已经在拔牙过程中四分五裂。即便如此,这些幸存下来的智齿,或多或少也已经出现了各种龋损和破坏。
虽然说大多数被拔的智齿都或多或少会引起、或曾经引起疼痛,但痛或不痛真不是医生确定智齿要不要拔除的根本原因。拔牙的原因很多,但是最简单的一种判断方式就是,这个智齿是否长得足够正。言下之意就是,尽管暂时还没有引起疼痛,那些长歪的智齿也是越早拔除越好。
原因就在于长歪的智齿非常不容易清洁,食物常常会残留,有的就会导致智齿及周围组织疼痛,更严重的是,它还会导致智齿前方的磨牙出现蛀牙,进一步则出现牙痛,最严重的、也非常常见的状况是,智齿要拔掉先不说,连同智齿前方的第二磨牙都出现不可挽救的龋坏,只能一起拔掉。
不过话说回来,也有一些特别“乖巧”的智齿,整整齐齐长出来,上下可以完美咬合,也没有什么蛀牙,平时都能刷干净。那么这种“优秀、听话”的智齿完全可以留下,成为我们咀嚼食物的工具。除了这些健康的智齿可以不拔,还有一些智齿深深埋在骨头里,而且完全没有萌出到口腔的迹象,那么也可以先不拔。但是要保持观察,一有动静,还是要防范!
智齿拔完,会发生什么?
“之前,有个朋友拔完智齿,好长时间张不开嘴,太可怕了!我先不拔了!”“我看我朋友那智齿拔完,半个脸都肿了,别说他疼了,我看着都疼......”还有很多人不想拔牙,很重要的原因是害怕拔牙之后的肿胀、疼痛。拔牙之后确实或多或少有局部肿胀疼痛的过程。此外,拔完牙期间,伤口疼痛、吞咽疼痛、张口受限也比较多见,这很难避免。甚至有的人还有全身感冒症状,诸如发热、四肢酸痛无力等。
毕竟作为一个手术,创伤不可避免。不过,如果做好以下护理和对症措施,这些不适大多都能在一周内减轻并消失:
①拔牙后 3 小时内,麻醉剂失效前,避免进食,以免刺激伤口出血。
②拔牙后 24 小时内,可用冰袋冷敷脸颊,这会有效减少出血、肿胀和疼痛。但是,操作时注意要持续、间隔冰敷,单次在 10~20 分钟,中途要有间隔,避免冻伤。
③拔牙后出现肿胀、疼痛、出血,要根据医生的建议服用药物。
④拔牙后应保持口腔卫生,24 小时后可以开始刷牙、漱口,防止感染。如果有缝针缝线,可以在一周之后拆除。
⑤拔牙后饮食清淡,不要进食太硬、太热的食物。拔牙一周后饮食几乎恢复正常。
不过,严重的肿胀、疼痛则需要回到拔牙医生处理。比如张口度几乎为零,能伸进一根手指,输液抗炎消肿可能是离不开了;还有出现剧烈的、止痛药无效的疼痛,往往还伴随着腐臭味,这说明术后出现了“干槽症”,那就需要局部麻醉下再次清创消毒,伤口处理后等其重新愈合。
总之,长痛不如短痛,虽说拔智齿是长远之计,但有时候害怕短期内的不适是阻碍病人踏入口腔科看智齿的重要原因。其实只要术前准备做好,再按照术后注意事项一条条做好,短期内的疼痛是完全可控的~
本站所有文章、数据、图片均来自互联网,一切版权均归源网站或源作者所有。
如果侵犯了你的权益请来信告知我们删除。邮箱:business@qudong.com






